Skip to content

Deliciasyrecetas

  • Privacy Policy
  • Sample Page
  • Sample Page
  • Terms & Conditions

Month: April 2026

Translated image es 2026 04 15T165051.091
Uncategorized

Esposa y amante: una mirada profunda al amor, el hábito y el deseo humano.

Amor, rutina y deseos no expresados Hablar de amor es adentrarse en uno de los terrenos más complejos de la…

admin adminApril 22, 2026
Translated image es 2026 04 15T172339.161
Uncategorized

Una sorpresa de cumpleaños que transformó mi perspectiva sobre la bondad cotidiana.

Cuando Mira se despertó el día de su cumpleaños, no esperaba nada extraordinario. El lejano sonido de los coches que…

admin adminApril 22, 2026
Translated image es 2026 04 17T102901.095
Uncategorized

Una chica apareció junto a mi cama de hospital y luego dijo mi nombre.

Pasé quince días postrada en una cama de hospital tras el accidente de coche; quince largos días que se confundieron…

admin adminApril 22, 2026
Translated image es 2026 04 18T092536.281
Uncategorized

Si una mujer tiene senos pequeños, significa que su parte…

13 razones científicas por las que tener senos pequeños es maravilloso Durante su adolescencia, muchas chicas pasaron por la típica…

admin adminApril 22, 2026
672674022 844137324648146 3771411488313643092 n
Uncategorized

Antes de ingresar en una residencia de ancianos, lea esto si no puede vivir solo.

Margarita tenía 76 años cuando sus hijos decidieron que ya no debía vivir sola. Le dijeron que era por su…

admin adminApril 22, 2026
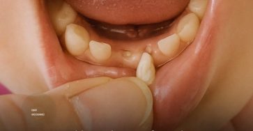
673395505 1397254652420400 7639960282066903997 n
Uncategorized

Dientes pequeños, grandes posibilidades: la promesa de las células madre en los dientes de leche.

Cuando un niño pierde un diente, la mayoría de los padres lo esconden debajo de la almohada para el Hada…

admin adminApril 22, 2026
674571159 872757269237560 8901297716336643483 n
Uncategorized

Prepara la crema, de bicarbonato, ponla antes de dormir. Adiós arrugas y manc..ver mas. Para seguir recibiendo mis recetas, solo debes decir algo… ¡Gracias!

🌿 Introducción ¿Sabías que puedes lucir hasta 30 años más joven con un simple remedio casero? Muchas mujeres de 60…

admin adminApril 22, 2026
674277952 2441223646338757 673589597190855883 n
Uncategorized

Té de ROMERO en ayunas por 15 días y no sufrirás más de…ver más

Pero los beneficios del romero no se limitan únicamente al cuerpo; también tiene efectos positivos sobre la mente y la…

admin adminApril 22, 2026
Translated image es 2026 04 19T180121.246
Uncategorized

9 ways to improve dry and flaky skin

La piel seca afecta a la mayoría de las personas, especialmente durante los meses más fríos. A medida que bajan…

admin adminApril 22, 2026
676163138 1477614777336435 8114399606684796492 n
Uncategorized

Sabías que los pies hinchados pu… Ver más

Aguas naturales para la irritante de los pies: opciones suaves para integrar en tu rutina diaria   La hinchazón de…

admin adminApril 22, 2026

Posts Pagination

« Previous 1 2 3 4 5 … 23 Next »

Posts pagination

Previous 1 2 3 4 … 23 Next

Recent Posts

  • Nunca coloques tu cama así: ¿mito o realidad según el Feng Shui?
  • 4 cosas que nunca debes decir en un funeral — y qué decir en su lugar
  • Después de los 70, cómo establecer límites saludables en las relaciones para mejorar el bienestar.
  • ¿El alma tarda tres días en irse? Ciencia y misterio tras la muerte
  • Por qué no se recomienda besar a un ser querido fallecido

Recent Comments

No comments to show.

Archives

  • April 2026
  • March 2026
  • February 2026

Categories

  • Uncategorized
Proudly powered by WordPress | Theme: Justread by GretaThemes.